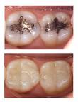
Volba materiálu, sloužícího k vyplňování zubů, stavěla stomatologii vždycky tváří v tvář jistým problémům. Na předvědeckém stupni znalostí byly kovy ještě z alchymie celkem dobře prozkoumány. Bohatí pacienti si mohli dovolit drahou zlatou fólii, chudým dříve či později vypadly. Není divu, že vědci vyzkoušeli všechno možné s fascinující, stříbřitě se lesknoucí rtutí, která sama ztvrdne po smíchání s jinými kovy. V roce 1820 byla ve Francii vytvořena směs z 8 dílů vizmutu, 5 dílů olova, 3 dílů cínu a jedné desetiny rtuti, nazývaná D´Arcets Mineralzement. Tyto kovy se po roztavení vlily do vyvrtaného zubu.
V roce 1833 otevřeli bratři Crowcourové v New Yorku zubní praxi. Při své reklamní akci, podobné polnímu tažení, nabízeli nový zázračný materiál – bez bolestivé přípravy zubu a mnohem levnější než zlato. Děravé zuby prostě vyplnili amalgámem. Tito bratři byli dva dobrodruhové z Anglie, bez jakéhokoli vzdělání, zkušeností a obratnosti.
V letech 1840 až 1855 byl amalgám v USA zakázán. Pacienti byli před ním varováni, neboť působením rtuti docházelo k otravám, projevujícím se těmito symptomy: slabost nervů, poruchy soustředění, oslabení srdce a krevního oběhu, duševní a nervové poruchy, jakož i poruchy zraku a sluchu. (Od té doby se vlastně nic nezměnilo).
V roce 1855 byl amalgám opět povolen. Americká zubní společnost (ADA) organizovala propagaci tohoto dříve zakázaného materiálu.
Po řadě experimentů vytvořil dr. E. Townson slitinu velmi podobnou té dnešní. ADA tvrdila, že je amalgám hodnotnou výplní zubů a zprávy o jeho údajném ohrožování zdraví pacientů jsou nepravdivé a nevědecké (stejně jako dnes). Ale kritici se dále snažili varovat před jedovatou rtutí.
Druhá amalgámová válka trvala od roku 1926 do roku 1945 a vedl ji skoro sám profesor dr. Alfred Stock. Vyučoval chemii na Institutu císaře Wilhelma v Berlíně a po 25 let práce v laboratoři byl vystaven účinku rtuti. Roku 1926 zveřejnil své osobní zkušenosti se rtutí, jež záporně ovlivnila velkou část jeho života. Popsal vědecké experimenty, potvrzující jeho nálezy, že amalgámové plomby vylučují rtuťové výpary. Jeho článek končí následujícími větami:
Zubní lékařství by mělo úplně upustit od používání amalgámu na plomby. Nelze pochybovat o tom, že mnohé symptomy jako únava, deprese, podrážděnost, závratě, oslabení paměti, záněty v ústech, průjmy, nechutenství a chronické katary vyvolává právě rtuť, vylučovaná v malém množství, ale trvale z amalgámu do těla.
V roce 1939 zveřejnil profesor Stock článek, obsahující další poznatky o amalgámu. Označil ho za nestálou slitinu, trvale vylučující rtuť v podobě odloučených částeček a plynných iontů. Následky tohoto jevu nazývá mikromerkurialismus a dělí ho do 3 skupin.
Mikromerkurialismus prvního stupně: způsobuje sníženou výkonnost, rostoucí vyčerpanost, nervózní podrážděnost.
Mikromerkurialismus druhého stupně: zduření nosní sliznice, rostoucí ztráta paměti, strach, ztráta sebedůvěry, podrážděnost a bolesti hlavy. Dále se mohou objevit záněty, potíže při dýchání, změny na sliznici, krvácení dásní, srdeční tíseň, třes, zrychlený puls a sklon k průjmům.
Mikromerkurialismus třetího stupně je charakterizován projevy, odpovídajícími běžné chronické otravě rtutí, jako např. slabost, nespavost, snížení duševní výkonnosti, deprese, křečovitý pláč, průjem, časté močení, mrazení a poruchy srdečního rytmu.
Veškeré výsledky zkoumání, vypracované profesorem Stockem, byly v podstatě potvrzeny i jinými vědci. Druhá sv.válka umlčela veškeré spory o amalgám. Po roce 1945 se začalo opět diskutovat. Do poloviny 80. let se spor na toto téma rozvinul ve studenou válku. Pak začala třetí světová válka, jež trvá dodnes.
Od roku 1986 je amalgám zakázán v zemích bývalého Sovětského svazu.
V Japonsku platí pokladny amalgámové plomby hůř než z umělé hmoty; proto je nikdo nepoužívá.
Švédsko stojí krátce před zákazem amalgámu, protože ho skupina odborníků prohlásila za z toxikologického hlediska nevhodný.
Rakouský ministr zdravotnictví chtěl do roku 2000 postupně přejít ve stupňovitém plánu na méně rizikové materiály – pak by se měla stát tato sporná směs zbytečnou.
Ve Spojených státech jsou dnes zubaři povinni pacienta následovně poučit: Teď vám dám amalgámovou plombu, obsahující rtuť. Musíte vědět, že tento těžký kov je jedovatý. Přeje-li si ji pacient přesto a právě proto, že je nejlevnější, nechá si zubař od něj toto přání ze soudně lékařských důvodů podepsat.
Jutta Altmann – Brewe
Zdroj: paprsky1.de



